Skip to Content
DENTISTRY & SKIN CARE IN MIAMI
Promotions
305-224-1138
Home
About Us
Meet Our Team
Julio Hernandez, DMD
Cesar Hernandez, DDS
Jose Porras, DDS
Sigal Dahan, DMD
Abeer Altarsha, RDH
Video Center
Our Team
Testimonials
Chew On This
Beyond Beauty Series
Ways To Boost Your Immunity
Giving Back
Awareness
Dentistry
Skin Care
Integrative Medicine
Before and After Gallery
Blog
2026
2025
2024
2023
2021
2020
2019
2018
2017
2016
2015
2014
2013
2012
Giving Back
Dentistry
Orthodontics
Invisalign®
Orthodontic Appliances For Children
Accelerated Orthodontic Treatments
Metal Braces
Clear Braces
Retainers
Cosmetic Dentistry
Smile Makeover
Dental Bridge
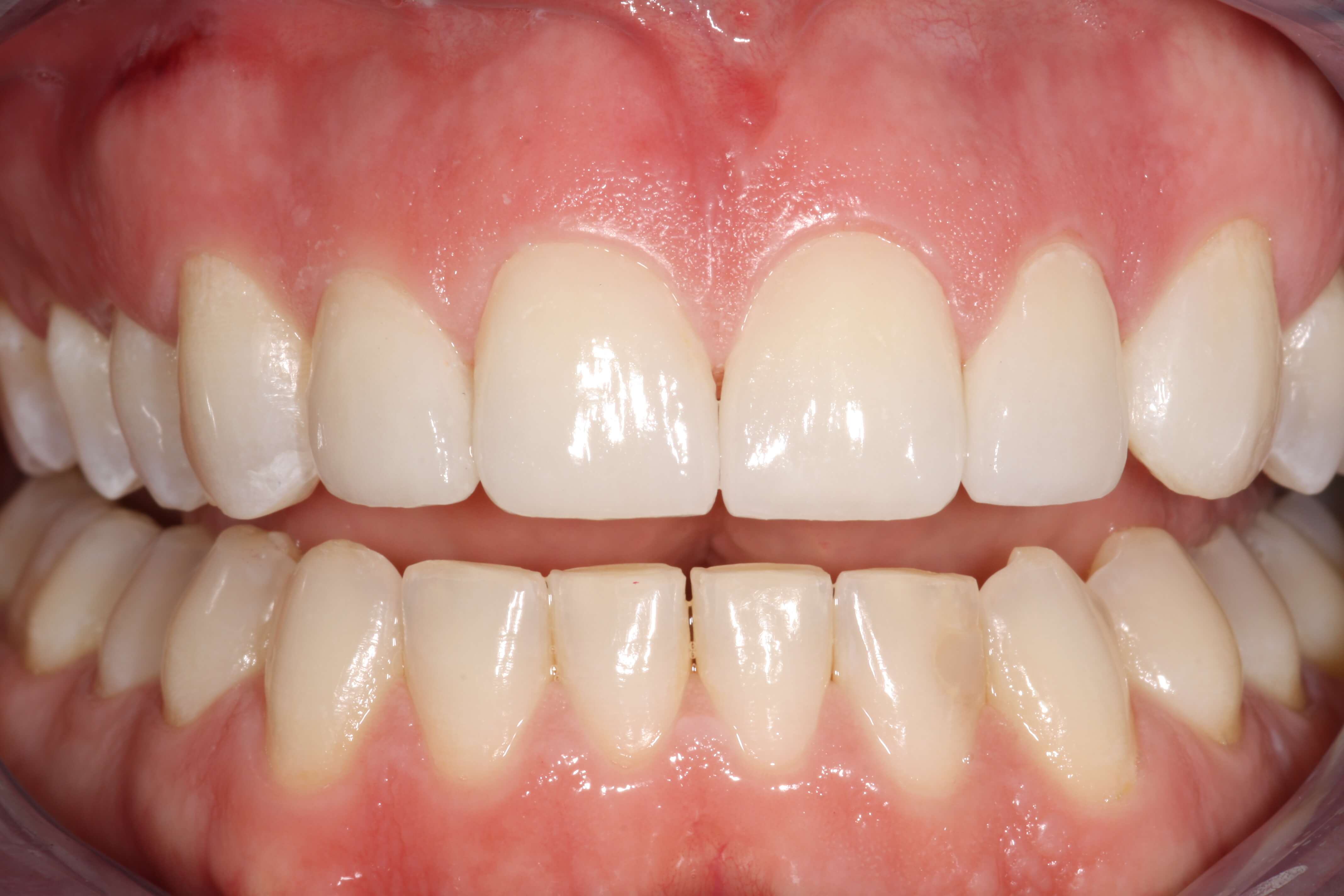
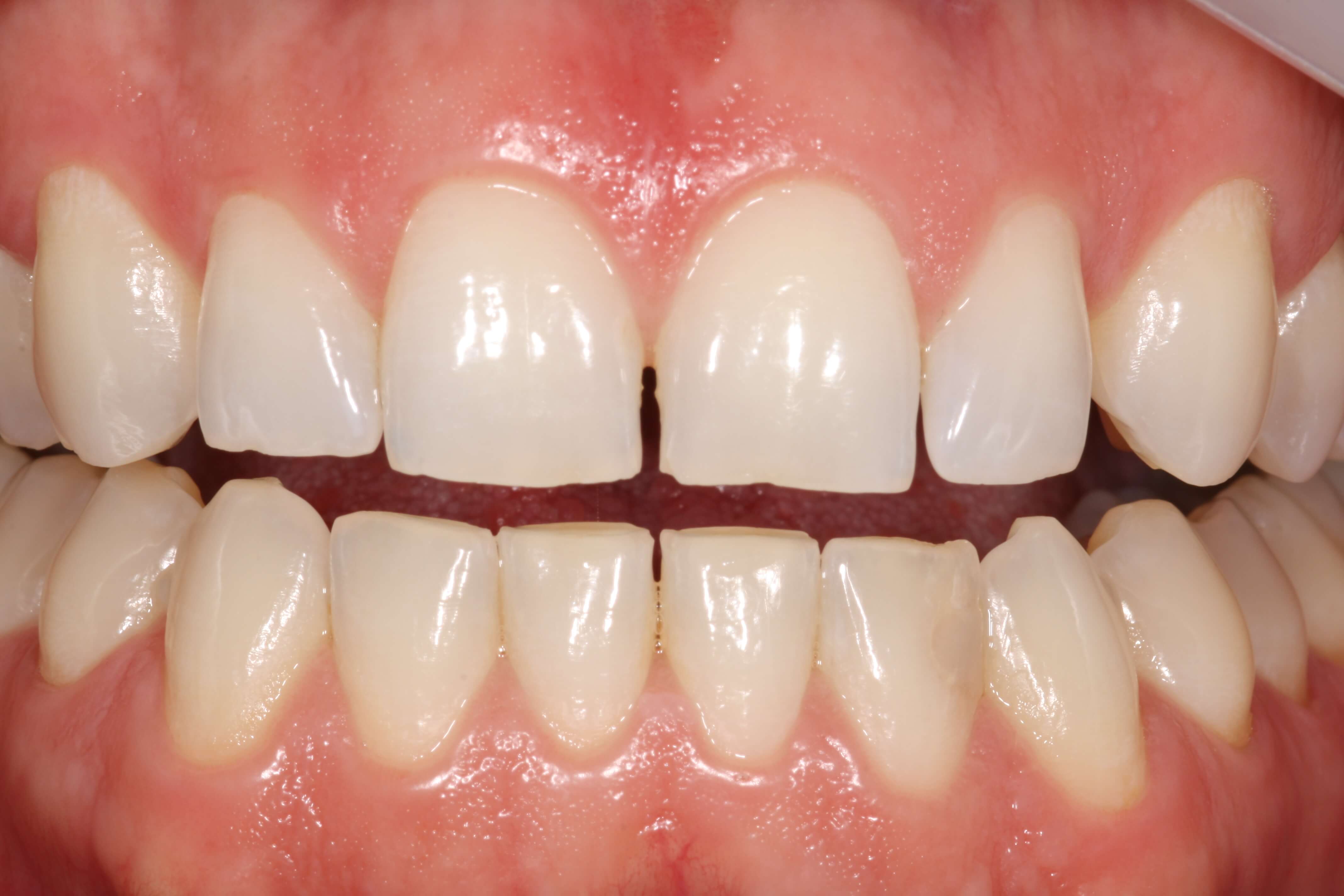
Porcelain Veneers
Resin Veneers
Teeth Whitening
Gummy Smile
Composite Bonding
General Dentistry
Dental Cleanings/Hygiene
Gum Recession
Root Canal
Extractions / Wisdom Teeth Removal
Fotona Laser Dentistry
Restorative Dentistry
Dental Implants
Dentures
Tooth-Colored Fillings
Crowns
Gum Disease Treatment
Sedation Dentistry
Snoring Mouth Guard
TMJ Treatment
Dentistry Videos
Skin Care
Advanced Skin Treatments
Clear + Brilliant Gentle Laser
Radiofrequency Skin Tightening
Microneedling
Anti-Aging / Rejuvenation
Acne Treatments
Hyperpigmentation Treatment
Regenerative Aesthetics
Fotona Laser for Skincare
Facials & Chemical Peels
Hydrafacials®
Chemical Peels
Face Masks
Fillers & Injectables
Botox / Dysport
Facial Fillers
PDO Thread Lift
Laser Hair Removal
Body Contouring Treatment
Skin Care Videos
Online Store
Patient Information
Financing
FAQ
What To Expect
Video Testimonials
Reviews
Close
Search
Home
About Us
Main Menu
Meet Our Team
Julio Hernandez, DMD
Cesar Hernandez, DDS
Jose Porras, DDS
Sigal Dahan, DMD
Abeer Altarsha, RDH
Video Center
Our Team
Testimonials
Chew On This
Beyond Beauty Series
Ways To Boost Your Immunity
Giving Back
Awareness
Dentistry
Skin Care
Integrative Medicine
Before and After Gallery
Blog
2026
2025
2024
2023
2021
2020
2019
2018
2017
2016
2015
2014
2013
2012
Giving Back
Dentistry
Main Menu
Orthodontics
Invisalign®
Orthodontic Appliances For Children
Accelerated Orthodontic Treatments
Metal Braces
Clear Braces
Retainers
Cosmetic Dentistry
Smile Makeover
Dental Bridge
Porcelain Veneers
Resin Veneers
Teeth Whitening
Gummy Smile
Composite Bonding
General Dentistry
Dental Cleanings/Hygiene
Gum Recession
Root Canal
Extractions / Wisdom Teeth Removal
Fotona Laser Dentistry
Restorative Dentistry
Dental Implants
Dentures
Tooth-Colored Fillings
Crowns
Gum Disease Treatment
Sedation Dentistry
Snoring Mouth Guard
TMJ Treatment
Dentistry Videos
Skin Care
Main Menu
Advanced Skin Treatments
Clear + Brilliant Gentle Laser
Radiofrequency Skin Tightening
Microneedling
Anti-Aging / Rejuvenation
Acne Treatments
Hyperpigmentation Treatment
Regenerative Aesthetics
Fotona Laser for Skincare
Facials & Chemical Peels
Hydrafacials®
Chemical Peels
Face Masks
Fillers & Injectables
Botox / Dysport
Facial Fillers
PDO Thread Lift
Laser Hair Removal
Body Contouring Treatment
Skin Care Videos
Online Store
Patient Information
Main Menu
Financing
FAQ
What To Expect
Video Testimonials
Reviews
Promotions
Contact Us
Call Us Today!
Follow Us
New Patient Registration
Top
Veneers